자궁경부세포검사 양성변화, 걱정해야 할까?

자궁경부암 검사 결과 해석하기
자궁경부세포검사를 받고 결과지를 받아들었을 때, '양성변화'라는 문구가 적혀 있으면 당황스러울 수 있습니다. 하지만 이는 반드시 악성(암)이라는 뜻은 아닙니다. 이번 글에서는 자궁경부세포검사의 결과를 해석하는 방법과 주의해야 할 사항을 알아보겠습니다.
1. 자궁경부세포검사 양성변화란?
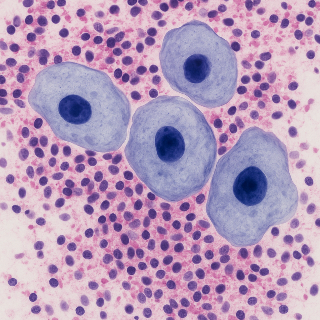
자궁경부세포검사에서 '양성변화'가 나왔다는 것은 세포에 변화가 있다는 뜻입니다. 하지만 이는 암을 의미하는 것이 아니라 염증이나 자극에 의해 세포가 반응하는 경우도 포함됩니다.
일반적으로 검사 결과에 다음과 같은 내용이 포함될 수 있습니다:
- 정상: 세포에 아무런 이상이 없음
- 양성변화: 염증이나 자극으로 인해 세포 변화가 보임
- 이형성(비정형 세포 변화): 암 전단계로 진행될 가능성이 있는 상태
- 악성 세포: 암으로 의심되는 세포 존재
이번 검사 결과에서 '양성변화'로 나온 경우, 대체로 심각한 상황은 아닙니다. 그러나 세포 변화가 지속되거나 악화될 가능성이 있기 때문에 추가적인 검사나 경과 관찰이 필요할 수 있습니다.
2. 검사 결과의 의미: Reactive cellular changes associated with inflammation
많은 검사 결과에서 "Reactive cellular changes associated with inflammation"이라는 문구를 볼 수 있습니다. 이는 염증으로 인해 세포가 반응하는 상태를 의미하며, 보통 감염이나 자극에 의해 발생합니다.
다른 결과지에서는 "(Non-specific inflammation on cervix or Vaginal)" 같은 설명이 추가되기도 합니다. 이는 특정 원인이 아닌 비특이적 염증으로 인해 세포 변화가 발생했다는 뜻입니다. 즉, 큰 이상이 없을 가능성이 높지만, 원인을 확인하고 치료하는 것이 중요합니다.
3. 어떤 경우 병원을 방문해야 할까?
검사 결과에서 '양성변화'가 나왔어도 대부분은 큰 문제가 아닙니다. 하지만 다음과 같은 증상이 있다면 병원을 방문하는 것이 좋습니다.
✅ 질 분비물이 증가하고 냄새가 심할 때
✅ 지속적인 가려움이나 통증이 있을 때
✅ 출혈이 동반될 때 (특히 성관계 후 출혈)
✅ 생리 주기가 불규칙하게 변할 때
특히, 검진에서 HPV(인유두종 바이러스) 검사를 함께 진행했다면 결과를 확인하는 것이 중요합니다. HPV가 고위험군으로 나왔다면 정기적인 추적 검사가 필요합니다.
4. 자궁경부 건강을 유지하는 방법
자궁경부 건강을 지키기 위해서는 꾸준한 관리가 필요합니다. 다음과 같은 방법을 실천해보세요.
💡 정기적인 검진 받기: 6개월~1년 간격으로 검진을 받아 변화를 체크하세요.
💡 면역력 관리: 건강한 식습관과 운동으로 면역력을 높이면 염증 예방에 도움됩니다.
💡 안전한 성생활 유지: 자궁경부암의 주요 원인인 HPV 감염을 예방하기 위해 콘돔 사용과 백신 접종을 고려하세요.
💡 위생 관리 철저히: 너무 잦은 질 세정제 사용은 오히려 자연적인 방어막을 약화시킬 수 있습니다.
5. 결론: 너무 걱정하지 말고, 관리하자!
자궁경부세포검사에서 양성변화가 나왔다고 해서 반드시 나쁜 결과를 의미하는 것은 아닙니다. 대부분은 염증이나 자극으로 인해 발생하는 일시적인 변화일 수 있으며, 정기 검진을 통해 충분히 관리할 수 있습니다.
검사 결과에 대한 정확한 해석이 필요하거나 추가적인 증상이 있다면 병원을 방문하여 전문가의 진료를 받아보세요. 무엇보다도 자궁경부 건강을 유지하는 습관을 기르는 것이 가장 중요합니다!
이재명 대통령의 과학기술 AI 정책 총정리: 100조 원 투자부터 인프라 확충, 인재 양성 대중화까지
인공지능(AI) 기술이 국가 경쟁력의 핵심으로 떠오른 지금, 이재명 대통령은 대한민국을 AI 세계 3대 강국으로 도약시키기 위한 대규모 정책을 발표하였습니다. 이번 글에서는 100조 원에 달하는
vitalitywealthlife.com
바나듐 쌀! 건강하면서 살찌지 않는데 맛도 있어야 돼 혈당도 잡는 그런게 있을까?
평소에 좋아하는 방송인 박나래 씨의 영상이 유튜브 리스트에 떠서 유튜브 영상을 우연히 클릭핟게 되었습니다. 무심코 클릭한 영상 속에서 ‘바나듐 쌀’이라는 생소한 단어가 등장했는데, 알
vitalitywealthlife.com
혼자서도 가능한 에어컨 셀프 청소 방법 총정리: 여름철 필수 가이드
무더운 여름, 시원한 에어컨 바람 없이는 하루도 버티기 힘든 계절이 다가왔습니다. 하지만 매년 에어컨을 켤 때마다 찝찝한 냄새나 약해진 바람에 불편함을 느끼신 적 있으신가요? 그 원인은
vitalitywealthlife.com
치아보험 가입 전 필수 체크리스트: 임플란트 보장부터 면책기간까지 꼼꼼히 비교하기
물가 상승과 함께 치과 치료비도 부담이 커지면서 치아보험에 대한 관심이 점점 높아지고 있습니다. 특히 임플란트나 틀니 같은 고비용 보철치료를 대비하기 위해 많은 분들이 치아보험 가입을
vitalitywealthlife.com
유시민 '설난영 제정신 아니다' 발언 논란 총정리: 여성·노동자 비하, 공직선거법 위반 논쟁과
최근 유튜브 방송에서 유시민 전 노무현재단 이사장이 설난영 씨를 두고 "제정신이 아니다"라고 표현한 발언이 정치권은 물론 시민사회 전반에 걸쳐 큰 논란을 일으키고 있습니다. 이 발언은 단
vitalitywealthlife.com


